06/02/2022 1250
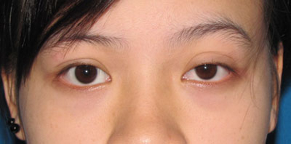
Mắt không đối xứng - hoặc mắt không cùng kích thước, hình dạng hoặc mức độ với nhau - rất phổ biến hiện nay. Trong một số trường hợp hiếm hoi, mắt không đối xứng có thể chỉ ra một tình trạng bệnh lý tiềm ẩn. Nhưng nhìn chung đây không phải là nguyên nhân đáng lo ngại. Trên thực tế, hầu hết mọi người đều có các đặc điểm không đối xứng, với nghiên cứu chỉ ra rằng một số mức độ bất đối xứng trên khuôn mặt là bình thường. Tuy nhiên, vì lý do thẩm mỹ có thể bạn sẽ muốn điều trị để đôi mắt của bạn trông cân đối và xinh đẹp hơn. Phẫu thuật thẩm mỹ có thể giúp bạn.
.jpg)
Nguyên nhân mắt không đối xứng?
Nguyên nhân tiềm ẩn của mắt không đối xứng bao gồm:

Mọi người có thể phát triển bất đối xứng đột ngột trên khuôn mặt do đột quỵ. Nếu độ cụp quá mức, nó có thể ảnh hưởng đến tầm nhìn của một người.
ĐIỀU TRỊ MẮT KHÔNG ĐỐI XỨNG?
Trong hầu hết các trường hợp, hai mắt không đều nhau không cần điều trị. Điều này đặc biệt đúng nếu sự bất đối xứng là kết quả của di truyền hoặc lão hóa.
Tuy nhiên, nếu một tình trạng bệnh lý tiềm ẩn góp phần gây ra sự bất đối xứng trên khuôn mặt, mọi người có thể yêu cầu điều trị tình trạng đó. Điều trị cũng có thể cần thiết nếu mắt không đối xứng gây ra các vấn đề về thị lực. Và một số người có thể muốn điều trị đôi mắt không đều vì lý do thẩm mỹ.
CÁC PHƯƠNG PHÁP ĐIỀU TRỊ MẮT KHÔNG ĐỐI XỨNG:
1. Giải quyết các tình trạng y tế cơ bản
Trong một số trường hợp, việc điều trị tình trạng bệnh lý tiềm ẩn có thể làm cho đôi mắt không đối xứng có vẻ ít được chú ý hơn. Ví dụ, điều trị bệnh Graves bằng i-ốt phóng xạ hoặc thuốc tuyến giáp có thể ngăn mắt lồi.
Những người có tình trạng sức khỏe góp phần vào sự không đối xứng của mắt nên nói chuyện với bác sĩ về việc kiểm soát các triệu chứng của họ.
2. Tiêm Botox
Botox là một lựa chọn không phẫu thuật cho sự bất đối xứng trên khuôn mặt. Nó bao gồm việc tiêm Botox, một loại thuốc giãn cơ có nguồn gốc từ vi khuẩn Clostridium botulinum, vào khu vực xung quanh lông mày. Điều trị bằng botox làm nâng lông mày, giảm sự xuất hiện của đôi mắt không đều nhau. Tác dụng của Botox thường sẽ kéo dài trong khoảng 3–6 tháng.
3. Nâng chân mày
Nâng chân mày là một thủ thuật thẩm mỹ giúp nâng cao lông mày. Mục đích là để mang lại cho khuôn mặt vẻ ngoài trẻ trung hơn và mang lại sự cân xứng trên khuôn mặt. Có nhiều loại kỹ thuật khác nhau mà bác sĩ phẫu thuật có thể sử dụng để nâng chân mày, nhưng họ thường sẽ thực hiện thủ thuật trong khi một người được gây mê toàn thân.
Một số rủi ro tiềm ẩn của nâng chân mày bao gồm:
Kết quả nâng chân mày không phải là vĩnh viễn. Lão hóa và tác hại của ánh nắng mặt trời có thể khiến da bị chảy xệ trở lại.
4. Blepharoplasty - Phẫu thuật tạo hình mí mắt
Blepharoplasty là một loại phẫu thuật thẩm mỹ giúp khắc phục tình trạng mí mắt lão hóa, chảy xệ, không đều nhau. Đây là một thủ tục thẩm mỹ được thực hiện thường xuyên. Trong quá trình thực hiện, bác sĩ phẫu thuật sẽ loại bỏ mỡ thừa, cơ hoặc da xung quanh vùng mắt để đôi mắt trông cân đối hơn. Sau phẫu thuật này, một người có thể bị bầm tím và sưng tấy tạm thời.
Trong quá trình phẫu thuật, các mô thừa, chẳng hạn như mỡ, cơ và da, sẽ được loại bỏ khỏi mí mắt trên hoặc dưới của bạn. Bầm tím và sưng là phổ biến và kéo dài khoảng hai tuần. Các vết sẹo rạch có thể mất vài tháng để mờ đi.
.jpg)
Một số rủi ro khác bao gồm: sự chảy máu, nhiễm trùng, phản ứng dị ứng với thuốc gây mê, sẹo, Ít phổ biến hơn, thủ thuật này có thể gây viêm kết mạc mãn tính (viêm một phần mắt) hoặc sưng kéo dài hơn 3 tháng. Trong một số trường hợp hiếm, có thể bị mù.
5. Phẫu thuật quỹ đạo
Phẫu thuật quỹ đạo là phẫu thuật quỹ đạo, là hốc mắt của bạn. Quỹ đạo bao gồm bốn bức tường xương, nhãn cầu, cơ mắt, dây thần kinh thị giác và mỡ.
Có nhiều quy trình phẫu thuật khác nhau được sử dụng để điều trị chấn thương và các tình trạng y tế ảnh hưởng đến không gian này. Điều này có thể bao gồm phẫu thuật để sửa chữa gãy xương hoặc loại bỏ khối u, hoặc phẫu thuật giải nén quỹ đạo được sử dụng để điều trị lồi mắt do bệnh Graves và nhiễm trùng.
Khi nào bạn cần đi khám bác sĩ
Nếu bạn đang gặp các vấn đề về thị lực hoặc các triệu chứng khác, chẳng hạn như đau mắt, sưng hoặc cảm giác đập ở một bên mắt, hãy nói chuyện với bác sĩ về việc giới thiệu đến bác sĩ nhãn khoa. Nếu hình dạng của mắt bạn thay đổi do chấn thương hoặc chấn thương liên quan đến đầu hoặc mặt, hãy đến phòng cấp cứu.
Nguồn tài liệu:
Lưu ý rằng việc tham khảo các nguồn tài liệu trực tuyến là một phần quan trọng của việc tìm hiểu thông tin kiến thức thẩm mỹ trước khi thực hiện. Tuy nhiên, việc tham khảo và thảo luận trực tiếp với Bác sĩ chuyên khoa là điều quan trọng nhất. Bác sĩ sẽ có kiến thức và kinh nghiệm chuyên môn để cung cấp thông tin chi tiết và phù hợp với trường hợp cá nhân của bạn.
Bài viết liên quan
Bình luận bài viết